Дорогие пациенты! Поздравляем Вас с наступающими праздниками и ждем в гости 🎄

Созаева Асият Хусейновна

врачебный стаж с 2020 года
более 2 850 пациентов
Стоматолог-гигиенист
Профессиональные навыки:
  • Комплексная консультация врача-стоматолога:
  • Осмотр полости рта, консультация по дополнительным методам исследования: КТ, КЛКТ, ОПТГ.
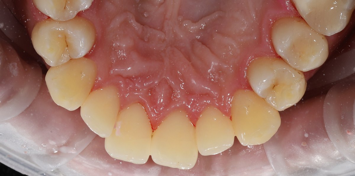
  • Профессиональная гигиена полости рта (ультразвук , Air-flow, полировка поверхностей зубов щетками, пастами, полировочными головками)
  • Профессиональная гигиена полости рта по GBT-протоколу
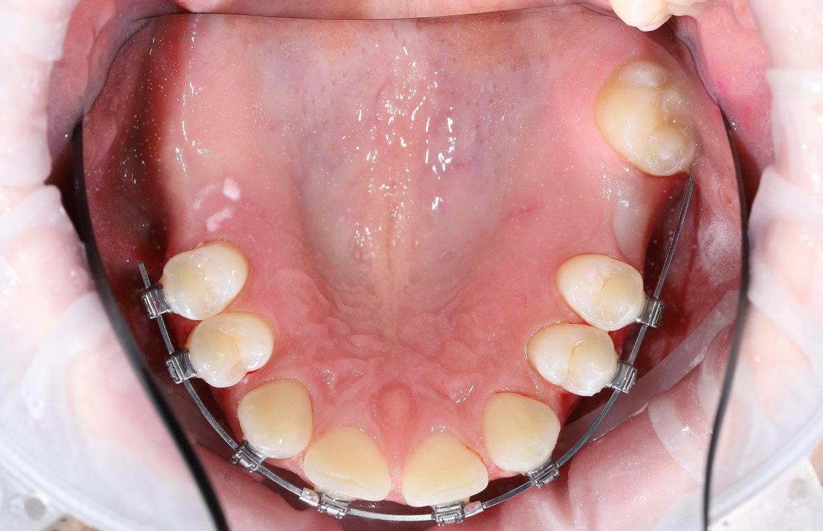
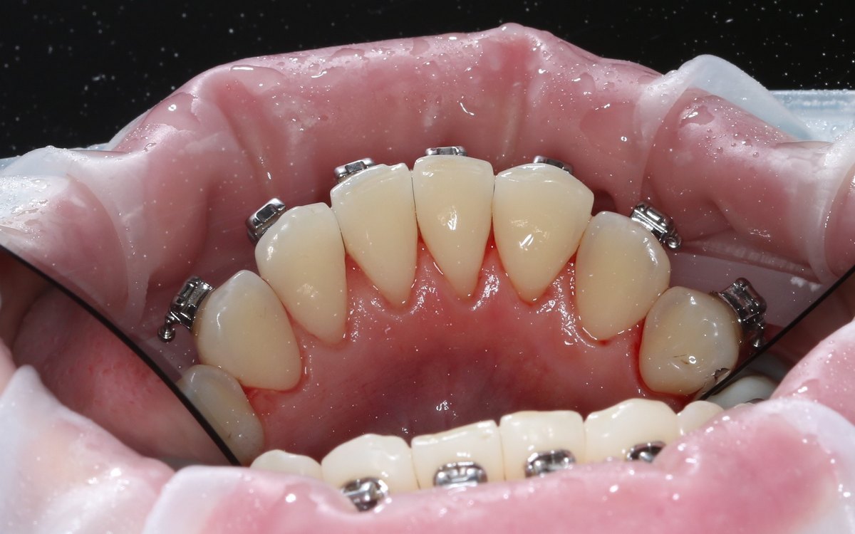
  • Профессиональная гигиена полости рта у пациентов на этапах ортодонтического лечения; предоперационная гигиена
  • Проведение профессиональной гигиены при заболеваниях пародонта
  • Отбеливание зубов ( Zoom, Flash, Opalescense, Amazing White)
  • Подбор индивидуальных средств гигиены. Обучение навыкам чистки зубов, домашнего ухода за полостью рта
Работы врача
Дипломы и сертификаты